ساعات کاری: شنبه تا پنج شنبه از ساعت 9 الی 21

اشرفی اصفهانی، بالاتراز همت، نبش اسلامیان، پلاک 37

02144466929 – 02144468048

🦷 دندان قروچه چیست؟ درمان دندان‌قروچه در کلینیک دندانپزشکی مارکیز 💎

دندان قروچه یا براکسیسم یکی از مشکلات شایع دندان‌پزشکی است که معمولاً شب‌ها و در هنگام خواب رخ می‌دهد. فرد بدون اینکه متوجه باشد، دندان‌های خود را محکم روی هم فشار می‌دهد یا به هم می‌ساید. این کار در طولانی‌مدت می‌تواند باعث سایش دندان‌ها، شکستگی دندان، درد عضلات فک و حتی مشکلات مفصلی فک (TMJ) شود.

در کلینیک دندانپزشکی مارکیز با استفاده از روش‌های تخصصی، علت دندان قروچه بررسی شده و بهترین روش درمان برای هر بیمار ارائه می‌شود. 💎

🔍 علائم دندان قروچه

اگر یک یا چند مورد از این علائم را دارید، احتمال زیادی وجود دارد که دندان قروچه داشته باشید:

  • 🚨 سایش و صاف شدن سطح دندان‌ها

  • 🦷 ترک‌خوردگی یا شکستگی‌های ریز دندان

  • 😣 درد فک، گردن و سر به‌خصوص پس از بیدار شدن

  • 🔊 شنیدن صدای ساییده شدن دندان‌ها هنگام خواب (توسط اطرافیان)

  • 🛌 اختلالات خواب، بیدار شدن با احساس خستگی

  • ⚡ حساسیت دندان‌ها به گرما و سرما

ساییدگی دندان‌ها بر اثر دندان‌قروچه (براکسیسم)
درد فک و مفصل فک بر اثر دندان قروچه

❗ دندان قروچه چه خطراتی دارد؟

  • کوتاه شدن و ساییدگی شدید دندان‌ها

  • تحلیل لثه و آسیب به ریشه دندان

  • درد و قفل شدگی فک

  • سردردهای مزمن

  • نیاز به درمان‌های پرهزینه مثل روکش، لمینت یا حتی ایمپلنت

هرچه دیرتر برای درمان اقدام شود، آسیب‌ها شدیدتر و درمان‌ها پیچیده‌تر می‌شوند.

🔎 علت دندان‌قروچه چیست؟

عوامل اصلی عبارتند از:

عاملتوضیح کوتاه
استرس و اضطرابمهم‌ترین دلیل دندان قروچه شبانه 😬
مشکلات بایت و ناهماهنگی دندان‌هافشار بیش‌ از حد روی برخی دندان‌ها
اختلالات خوابمثل آپنه خواب
داروها و مصرف کافئین و سیگارافزایش تنش عصبی
عوامل ژنتیکیاحتمال انتقال خانوادگی بالا

در کلینیک مارکیز ابتدا منشأ مشکل تشخیص داده می‌شود تا درمان مؤثر باشد.

💎 درمان دندان قروچه در کلینیک دندانپزشکی مارکیز (پونک – غرب تهران)

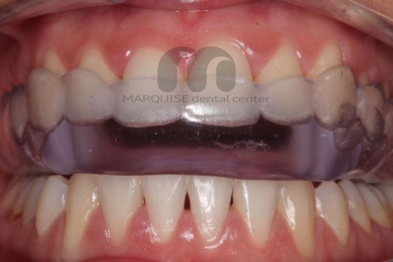
✔ محافظ‌ دندانی مخصوص شب (نایت گارد)

ساخته شده توسط متخصص، برای جلوگیری از سایش دندان‌ها در خواب.

استفاده از نایت‌گارد برای درمان دندان‌قروچه شبانه

✔ اصلاح تماس و ارتفاع دندان‌ها

در صورت ناهماهنگی بایت، دندان‌پزشک سطوح دندان‌ها را اصلاح می‌کند.

✔ درمان‌های مکمل زیبایی

در دندان‌هایی که آسیب دیده‌اند از بیلداپ، روکش یا لمینت استفاده می‌شود.

✔ مدیریت استرس و عضلات فک

گاهاً با معرفی راهکارهای آرام‌سازی یا درمان‌های دارویی.

✔ تزریق بوتاکس در عضلات فک (در موارد شدید)

کاهش فشار و جلوگیری از آسیب بیشتر.

📍 چرا درمان دندان قروچه در کلینیک مارکیز؟

  • متخصصین باتجربه در درمان اختلالات فک و دندان قروچه

  • دسترسی آسان برای ساکنان پونک، سعادت‌آباد، شهرک غرب، مرزداران و جنت‌آباد

  • 💎 اقساط برای خدمات درمانی جهت رفاه بیماران

  • استفاده از اسکن و ساخت نایت‌گارد اختصاصی

اگر دندان قروچه دارید، همین امروز اقدام کنید!
جهت رزرو ویزیت رایگان  و اخذ مشاوره

02144466929

دندان‌هایتان ارزش آن را دارند که از آن‌ها محافظت کنید 🦷💎

دکتر دندانپزشک در حال درمان بیمار در کلینیک دندانپزشکی مارکیز تهران پونک

🩺 جمع‌بندی

دندان‌قروچه می‌تواند به مرور زمان باعث ساییدگی دندان‌ها، درد فک و حتی مشکلات مفصل فکی شود. شناسایی علائم و شروع درمان به‌موقع، بهترین راه برای جلوگیری از آسیب‌های جدی‌تر است. اگر هنگام خواب دندان‌ها را به هم فشار می‌دهید، صبح‌ها با سردرد بیدار می‌شوید یا لثه‌ها و دندان‌هایتان حساس شده‌اند، زمان آن رسیده که به یک دندانپزشک متخصص مراجعه کنید 💎

در کلینیک دندانپزشکی مارکیز در پونک تهران، خدمات تخصصی تشخیص و درمان دندان‌قروچه از جمله ساخت نایت‌گارد اختصاصی، بررسی وضعیت فک و درمان‌های تکمیلی ارائه می‌شود. هدف ما حفظ سلامت دندان‌ها و لبخند زیبای شماست ✨